Update!

Dr. G. (his Neurosurgeon) prescribed him medication to drain the build up of spinal fluid and it seems to be doing it’s thing. He’s having horrible side effects but he only needs to be on it for a short time. But I will be calling on Monday to see if he can switch to something else.

Friday, October 4

Today we went to his Neurology appointment and we took a “field trip” to neurosurgery the next floor up. Roller has a massive lump near his surgical site, we noticed it a few weeks ago and I’ve been trying to talk him into getting scans done. Neurosurgery said “go to the ER and get scans done.” So he finally went!

After waiting many hours, and a CT scan they figured out he has a spinal leak, he was sent home and on Monday we call his neurosurgeons and figure out what’s next.

Anniversary Coming Up….

Not Roller’s and mine, but of his heart attack followed by surgery. We survived that, the brain tumor and eviction of said tumor, there is still swelling he’s telling me not to be concerned about, but I am, but I will be letting him tell me unless it gets significantly bigger.

The positives of where we were one year ago,
1. HE’S STILL HERE, grumpy and anti-social as ever!
2. He is more in control of his diabetes, his A1C should be around 7.0, it hasn’t been that low since I’ve likely met him.
3. He’s more aware of why controlling his diabetes is a good thing and less likely to cheat now.
4. He’s taking his health a bit more seriously, which is nice because I am getting really tired of visits to Salem Health

Iverson chilling on the heart pillow

Iverson loves the heart pillow this is the pillow Salem Health gave Chris, this pillow to help post surgery, when you need to cough, you hold this to your chest and cough, it helps the impact. I mean to call the Cardiac unit to see if they want it back but, the boy derailed that idea. Here is to a year, and hopefully we can make it ONE year without any hospitalizations.

Last Update… for now…..

Chris is doing super well. His incision is healing well, no signs of seizure or infection. The tumor came back grade 1, which is what we wanted. He hasn’t had a seizure since before the surgery.

So the plan forward is to meet with neurology in a few months, to see if he still needs to take the high amount of seizure meds. Then in 6 months he will have another MRI to see if the tumor is growing. After that it will be a watch and see.

I will be keeping this blog open so we can keep everyone updated with his health.

Have a safe and wonderful day!
– M

COMING HOME TOMORROW!

Today he was working with PT and will continue after he gets home. But by the time I left to take care of Iverson he was walking on his own and joking around about everything. I left right when they were wheeling him down to an MRI.

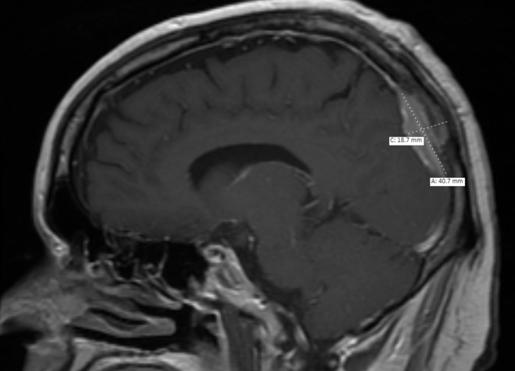
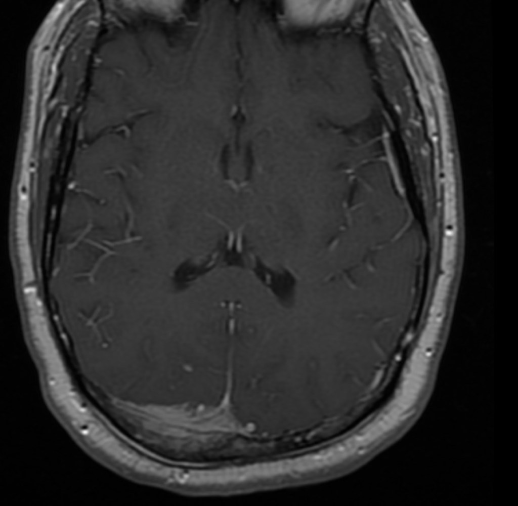
The MRI looked good. Since they couldn’t take out the whole tumor without cutting into that main blood vessel they showed how small his Neurosurgeon was able to get it which looks like it was 2.1cm X 0.9 cm. Beyond that, everything looks on track for a person who had surgery 24 hours ago.

He’s doing so good that he gets to come home tomorrow

NEXT 24 HOURS

So he won’t be allowed to sleep without a nurse prodding him or bothering him for the next 24 hours. He is doing great though in IMO. I left about 25 minutes ago and he had drank 2 cups of water and ate 2 chocolate puddings, doped up with so many drugs. Tonight they will check is blood sugar, his swelling (back of head and eyes), and make sure his vitals stay stable. The only issue is he has a massive headache, which yeah that is going to be an issue! But I have a feeling he’ll be home soon. He already wants me to sneak Iverson in, told him that is a negatory. Iverson isn’t a quiet dog, he is loud and proud. Tomorrow I’ll head back after some sleep and time with Ivy, he has an MRI and then from there they will decide where to put him.

To remind everyone about the size and location of the tumor
The tumor from the above view

Update, after talks with the Dr

Chris did well, no transfusion no issues.

Tumor was growing in the membrane and connected to the bone and to the main blood vessel on top of the head. It had been there so long that it was growing its own vessels.

They took out the bone and removed the tumor as much as possible without issues with the main blood vessel.

They sent the tumor to pathology, installed a titanium plate with a cementish coverage, to meld with the bone. He’s still in recovery from the anesthesia.

He will be getting another MRI tomorrow to show how it’s healing.

Just got the text we want!

Procedure complete.

He will go into the recovery wing where he will wake up and be asked about the day and month and other information. Once he’s up he will be transferred to IUC to spend the night and monitor him with hourly wake up calls and questions.

I got him a sleeping mask that can go around the head instead over it, so he can enjoy darkness that he craves as a vampire or troll. Then depending on how he heals he will be out of ICU and hopefully home soon.

And he’s wheeled away!

So his check in nurse reminds me of Piglet from Winney the Pooh. Just that soft spoken, bit of a higher pitch voice. The surgeon came in and marked him said he’ll spend tonight in ICU and then be moved to a room and depending how things go he will get to go home after two days. I said after this no more surgeries for at least a year, he said “we’ll see…”